
Οι 4 τύποι δοντιών και οι διαφορές τους
Οι 4 τύποι δοντιών και οι διαφορές τους! Κάθε τύπος δοντιού έχει ελαφρώς διαφορετικό σχήμα από τα υπόλοιπα και επιτελεί διαφορετική δουλειά, αφου η ανατομια

Η χειρουργός οδοντίατρος Κληρονόμου Ιωάννα διατηρεί οδοντιατρείο στον Πειραιά και είναι απόφοιτη του Εθνικού και Καποδιστριακού Πανεπιστημίου Αθηνών του τμήματος Οδοντιατρικής και επιπλέον είναι απόφοιτη του Α.Τ.Ε.Ι. Αθηνών του τμήματος Οδοντικής Τεχνολογίας.

Οι 4 τύποι δοντιών και οι διαφορές τους! Κάθε τύπος δοντιού έχει ελαφρώς διαφορετικό σχήμα από τα υπόλοιπα και επιτελεί διαφορετική δουλειά, αφου η ανατομια

COVID-19 Η ΝΕΑ ΕΠΟΧΗ? Δυστυχώς όλοι γινόμαστε κοινωνοί της νέας δύσκολης κατάστασης που έχει προκύψει λόγω του Conid-19. Ο ιός αυτός ήρθε για να μείνει?

Το άρθρο είναι εξευγενισμένη μετάφραση του https://www.ncbi.nlm.nih.gov/pmc/articles/PMC6167093/ ΠΑΝΤΑ να συμβουλεύεστε τον θεράποντα ιατρό και οδοντίατρο σας. Περιοδοντική θεραπεία και ακτινοθεραπεία Η ακτινοθεραπεία αποτελεί μια από

ΤΙ ΛΕΕΙ Η ΑΝΑΠΝΟΗ ΜΑΣ ΓΙΑ ΤΗΝ ΥΓΕΙΑ ΜΑΣ? Έχετε δυσάρεστη αναπνοή; Η κακόσμια του στόματος και οι αίτιες που προκαλούν δυσάρεστη αναπνοή ή αλλιώς

Μήπως η κατανάλωση παγωμένων ροφημάτων είναι πλέον αδύνατη για εσάς; Κάθε φορά που προσπαθείτε να βουρτσίσετε και να χρησιμοποιήσετε το στοματικό σας διάλυμα σκέφτεστε τον

Πολύ συχνά στο οδοντιατρείο μας στον Πειραια, οι ασθενείς μας ζητάνε να ενημερωθούν για την αραιοδοντία ή αλλιώς, το κενό στα δόντια τους. Παρακάτω είναι

Είναι συχνό φαινόμενο να λαμβάνουμε την παρακάτω ερώτηση: Τα δόντια μου είναι πραγματικά ευαίσθητα στο ζεστό και το κρύο, ειδικά το δόντι που σφράγισα. Δεν

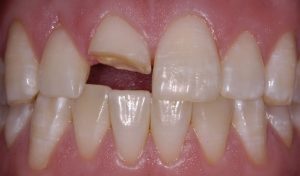
Πρόσφατα λάβαμε το παρακάτω mail για την Αποκατάσταση σπασμένου δοντιού: Αγαπητή Δρ.Κληρονόμου, Πρόσφατα έσπασα ένα δόντι σχεδόν μέχρι το ύψος του ούλου όταν δάγκωσα κάτι

Παντρεύεστε; Θέλετε να έχει η νύφη και ο γαμπρός ένα φωτεινό και υγειές χαμόγελο την ημέρα του γάμου; Δείτε στον παρακάτω οδοντιατρικό οδηγό τι μπορείτε

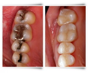
1)Τι είναι το αμάλγαμα, το υλικό που χρησιμοποιείται στα μαύρα σφραγίσματα; Το οδοντιατρικό αμάλγαμα είναι ένα κράμα υδραργύρου με άργυρο, κασσίτερο, χαλκό, ψευδάργυρο ή και

12 πράγματα που ο οδοντίατρός σας θέλει να γνωρίζετε και να προσέξετε ιδιαίτερα στο στόμα σας!Δυστυχώς πολύ εύκολα ξεχνάμε πόσο «βρώμικο» μπορεί εν δυνάμει το

Σήμερα και με αφορμή την παρακάτω ερώτηση που ακούω πολλές φορές στο οδοντιατρείο, θα μιλήσουμε για το Στοματικό διάλυμα και πληροφορίες που χρειαζετε να ξερετε

Θέλετε να βελτιώσετε το χαμόγελό σας; Δείτε τι μπορούν να κάνουν τα σιδεράκια δοντιών, οι στεφάνες (θήκες), οι όψεις, η λεύκανση, οι οδοντιατρικές γέφυρες, τα

Διαβήτης και οδοντιατρική Η σοβαρότερη νόσος των ούλων ονομάζεται περιοδοντίτιδα. Σε αυτό το στάδιο τα ούλα απομακρύνονται από τη θέση τους, με αποτέλεσμα να απογυμνώνονται

Καλοκαιρινές διακοπές και πονοδοντος 🙁 Ποιοί είναι οι συχνότεροι τύποι πονόδοντου και πως προκαλούνται; Ο πονόδοντος μπορεί να εμφανιστεί με διάφορες μορφές, μπορεί να

Η λεύκανση δοντιών αποτελεί μία από τις πιο δημοφιλείς θεραπείες αισθητικής οδοντιατρικής. Σε αυτό το άρθρο παρουσιάζουμε τις βασικές μεθόδους λεύκανσης καθώς και απαντήσεις σε

Δόντια με έντονους και επίμονους λεκέδες; Τι προκαλεί τους Λεκέδες στα δόντια και πως πρέπει να τους αντιμετωπίσετε; Οι Λεκέδες στα δόντια αποτελούν ένα πολύ

Η κροταφογναθική διάρθρωση (ΚΓΔ) αποτελεί μια άρθρωση η οποία συνδέει την κάτω γνάθο με τα κροταφικά οστά του κρανίου εκατέρωθεν, τα οποία εντοπίζονται έμπροσθεν των

Διαλέγοντας την ιδανική οδοντόβουρτσα : χειροκίνητη vs ηλεκτρική Η ηλεκτρική οδοντόβουρτσα έχει γίνει ιδιαίτερα δημοφιλής τα τελευταία χρόνια και κατά γενικότερη ομολογία προσφέρει ανώτερη

Στοματική υγεία = Καλή γενική υγεία (Oral Health — Good for Life) Οι περισσότεροι από εμάς έχουμε διαπιστώσει ότι η σωστή διατροφή και η

Παιδί και στοματική υγιεινή Η ανησυχία της παιδικής στοματικής υγιεινής θα πρέπει να ξεκινάει – σύμφωνα με τους παιδοδοντίατρους – από την ανατολή του πρώτου